Ung thư não: Dấu hiệu, nguyên nhân, chẩn đoán và phác đồ điều trị
- Ung thư não là gì?
- Các dấu hiệu ung thư não thường gặp
- Nguyên nhân và yếu tố nguy cơ gây ung thư não
- Ung thư não được chẩn đoán như thế nào?
- Phác đồ điều trị ung thư não hiện nay
- Ung thư não có chữa được không?
- Phòng ngừa ung thư não
- Khi nào cần gặp bác sĩ?
- Kết luận
- Câu hỏi thường gặp về ung thư não (FAQ)
Ung thư não là một trong những bệnh lý thần kinh nguy hiểm nhất, không chỉ bởi mức độ phức tạp trong điều trị mà còn vì triệu chứng dễ nhầm lẫn với nhiều bệnh khác. Theo thống kê của Tổ chức Y tế Thế giới (WHO), ung thư não chỉ chiếm khoảng 2% trong tổng số các loại ung thư, nhưng lại thuộc nhóm có tỷ lệ tử vong cao do khối u phát triển trong không gian kín của hộp sọ, chèn ép trực tiếp lên các vùng chức năng quan trọng của não bộ.
Trong những năm gần đây, số ca ung thư não được ghi nhận có xu hướng tăng lên. Điều này khiến việc hiểu rõ dấu hiệu, nguyên nhân, phương pháp chẩn đoán và phác đồ điều trị trở nên quan trọng hơn bao giờ hết. Bài viết dưới đây, Thuốc Ung Thư sẽ giúp bạn tiếp cận toàn bộ thông tin một cách có hệ thống, khoa học và dễ hiểu nhất.
Ung thư não là gì?
Định nghĩa
Ung thư não là tình trạng xuất hiện và phát triển của các tế bào bất thường trong mô não. Những tế bào này phân chia không kiểm soát, xâm lấn vào các vùng lân cận và cản trở chức năng thần kinh bình thường. Khối u trong não có thể là ác tính (ung thư) hoặc lành tính, nhưng ngay cả u lành nếu phát triển quá lớn cũng có thể gây nguy hiểm do chèn ép nhu mô não.
Các loại ung thư não phổ biến gồm:
- Glioblastoma multiforme (GBM): Là loại ung thư não ác tính phổ biến nhất ở người lớn, phát triển nhanh chóng và có thể lan sang các vùng khác của não.
- Astrocytoma: Một loại ung thư xuất phát từ tế bào hình sao. Tùy thuộc vào cấp độ mà nó có thể là lành tính hoặc ác tính, phát triển nhanh hay chậm.
- Meningioma: Loại u màng não phổ biến, thường là lành tính. Tuy nhiên, chúng có thể gây ra các vấn đề sức khỏe nghiêm trọng do chèn ép mô não nếu không được phát hiện và điều trị sớm.
- Medulloblastoma: Loại ung thư não nguyên phát phổ biến nhất ở trẻ em, xuất phát từ tiểu não.

Ung thư não là tình trạng xuất hiện và phát triển của các tế bào bất thường trong mô não.
Phân biệt ung thư não nguyên phát và di căn
Có hai nhóm chính:
- Ung thư não nguyên phát: Xuất phát trực tiếp từ mô não hoặc màng bao quanh não (màng não). Đây là nhóm bao gồm glioma, astrocytoma, oligodendroglioma, meningioma…
- Ung thư não di căn: Xuất phát từ ung thư tại cơ quan khác rồi di chuyển đến não, ví dụ: ung thư phổi, ung thư vú, ung thư da (melanoma).
Ung thư não có phổ biến không?
- Tỷ lệ mắc mới: ≈ 5–6 ca / 100.000 dân/năm (theo Globocan 2022).
- Tỷ lệ tử vong cao do bệnh phát hiện muộn.
- Độ tuổi phổ biến: 45–70, nhưng trẻ em cũng có thể mắc (đặc biệt là medulloblastoma).
Nhìn chung, dù không phải loại ung thư thường gặp, ung thư não lại có diễn tiến phức tạp và ảnh hưởng nặng nề đến chất lượng cuộc sống.
Xem thêm thông tin chi tiết: Các giai đoạn ung thư não và tiên lượng từng giai đoạn
Các dấu hiệu ung thư não thường gặp
Ung thư não có thể xuất hiện với nhiều triệu chứng khác nhau, tùy vào vị trí và kích thước khối u. Điều đáng nói là các triệu chứng thường tăng dần và không đặc hiệu, khiến người bệnh dễ bỏ qua.
Triệu chứng thần kinh
Đau đầu là dấu hiệu phổ biến nhất, chiếm hơn 60% trường hợp. Đặc điểm:
- Đau từng cơn hoặc âm ỉ kéo dài
- Nặng hơn vào buổi sáng
- Có thể kèm buồn nôn, nôn ói
Ngoài ra, người bệnh có thể gặp:
- Co giật (động kinh mới khởi phát)
- Yếu liệt tay chân
- Mất thăng bằng
- Rối loạn thị giác, nhìn đôi
- Tê bì một phần cơ thể
Những triệu chứng này xuất hiện do khối u chèn ép hoặc xâm lấn trực tiếp vào mô não, làm suy giảm chức năng dẫn truyền thần kinh.
Triệu chứng nhận thức và hành vi
Khối u ở thùy trán hoặc thùy đỉnh có thể gây:
- Giảm khả năng tập trung
- Thay đổi nhân cách, dễ kích động
- Mất trí nhớ ngắn hạn
- Khó đưa ra quyết định
Những thay đổi này đôi khi khiến gia đình nhầm lẫn với dấu hiệu stress hoặc suy nhược tâm lý.
Triệu chứng do tăng áp lực nội sọ
Khi khối u lớn gây tăng áp lực nội sọ, bệnh nhân có thể gặp:
- Buồn nôn, nôn vọt
- Đau đầu dữ dội
- Thị lực giảm nhanh
- Lơ mơ, giảm tri giác (mức độ nặng)
Đây là nhóm triệu chứng cần xử lý y tế khẩn cấp.
Triệu chứng theo vị trí khối u
- Thùy trán: thay đổi hành vi, giảm khả năng lập kế hoạch
- Thùy thái dương: rối loạn trí nhớ, ảo giác
- Thùy chẩm: mờ mắt, nhìn đôi
- Thùy đỉnh: rối loạn cảm giác
- Tiểu não: mất thăng bằng, chóng mặt

Đau đầu là triệu chứng của ung thư não
Dấu hiệu ung thư não giai đoạn đầu thường bị bỏ qua
Nhiều người chỉ có các biểu hiện “mơ hồ”:
- Đau đầu nhẹ nhưng kéo dài
- Mệt mỏi không rõ nguyên nhân
- Giảm tập trung
- Ngủ kém
- Tê nhẹ vùng mặt hoặc chân tay
Chính vì vậy, bệnh thường được phát hiện muộn, làm giảm hiệu quả điều trị.
Xem thêm thông tin chi tiết: 12 dấu hiệu ung thư não dễ nhận biết sớm
Nguyên nhân và yếu tố nguy cơ gây ung thư não
Đến nay, khoa học vẫn chưa xác định rõ nguyên nhân chính xác gây ung thư não. Tuy nhiên, nhiều yếu tố nguy cơ đã được ghi nhận.
Di truyền & đột biến gen
Một số hội chứng di truyền làm tăng khả năng mắc ung thư não, ví dụ:
- Neurofibromatosis type 1 và 2
- Turcot syndrome
- Li-Fraumeni syndrome
- Những người mang đột biến gen p53, IDH1, IDH2 cũng có nguy cơ cao hơn.
Tiếp xúc bức xạ ion hóa
Đây là yếu tố nguy cơ được chứng minh rõ ràng nhất.
Những người từng:
- Xạ trị đầu – mặt – cổ
- Tiếp xúc bức xạ trong môi trường hạt nhân có nguy cơ mắc ung thư não cao hơn bình thường.
Yếu tố môi trường (hóa chất, khói độc…)
Một số nghiên cứu ghi nhận mối liên quan giữa ung thư não và:
- Dung môi hữu cơ
- Thuốc trừ sâu
- Hóa chất công nghiệp. Tuy nhiên, mức độ chứng minh chưa tuyệt đối.
Liên quan bệnh lý miễn dịch
Những người suy giảm miễn dịch (HIV/AIDS, sau ghép tạng) có nguy cơ hình thành u lympho ở hệ thần kinh trung ương.
Các yếu tố nguy cơ chưa được chứng minh hoàn toàn
Một số nghi vấn chưa có kết luận rõ ràng:
- Sóng điện thoại
- Làm việc nhiều với thiết bị điện tử
- Stress kéo dài
Cho đến nay, các tổ chức y tế lớn như WHO và CDC chưa khẳng định những yếu tố này gây ra ung thư não.
Xem thêm thông tin chi tiết: Nguyên nhân ung thư não: Các yếu tố nguy cơ phổ biến
Ung thư não được chẩn đoán như thế nào?
Việc chẩn đoán ung thư não đòi hỏi sự kết hợp giữa triệu chứng lâm sàng, hình ảnh học và xét nghiệm mô bệnh học. Chẩn đoán chính xác giúp xác định loại u, độ ác tính và lựa chọn phác đồ điều trị phù hợp.
Khai thác triệu chứng & thăm khám lâm sàng thần kinh
Bác sĩ sẽ:
- Hỏi bệnh sử: thời gian đau đầu, tần suất, thay đổi hành vi, co giật…
- Khám thần kinh: đánh giá phản xạ, sức cơ, thị lực, thăng bằng, phối hợp vận động.
- Kiểm tra tri giác (Glasgow Coma Scale).
Ví dụ: Một bệnh nhân đau đầu kèm yếu nửa người trái → bác sĩ có thể nghi ngờ khối u ở thùy trán phải, nơi điều khiển vận động đối bên.
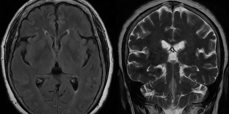
Chẩn đoán hình ảnh (MRI, CT, PET-CT)
MRI não
Đây là tiêu chuẩn vàng trong phát hiện ung thư não, cho thấy:
- Kích thước, vị trí và ranh giới khối u
- Mức độ xâm lấn
- Phù não xung quanh
CT Scan
- Thường dùng trong cấp cứu hoặc khi không có MRI.
- Hữu ích trong trường hợp nghi xuất huyết nội sọ do u.

Chụp Ct để bác sỉ xác định được vị trí khối u của ung thư não
PET-CT
Giúp đánh giá:
- Mức độ chuyển hóa của khối u
- Khả năng di căn từ nơi khác đến não
- Hiệu quả điều trị sau xạ trị / hóa trị
Sinh thiết u não
Đây là bước quan trọng nhất để chẩn đoán xác định. Bác sĩ sẽ lấy một mảnh mô nhỏ từ khối u để phân tích dưới kính hiển vi.
Kết quả sinh thiết giúp: Xác định loại tế bào, đánh giá độ ác tính và phân nhóm theo WHO (Grade I – IV)
Xét nghiệm dịch não tủy
Áp dụng trong nghi ngờ u lympho thần kinh trung ương hoặc ung thư di căn màng não.
Phân giai đoạn & phân loại mô học theo WHO
WHO chia ung thư não theo mức độ ác tính:
- Grade I: u lành tính, phát triển chậm
- Grade II: xâm lấn nhẹ
- Grade III: ác tính cao
- Grade IV: ác tính rất cao (ví dụ: glioblastoma)
Xem thêm thông tin chi tiết: Các phương pháp chẩn đoán ung thư não hiện nay
Phác đồ điều trị ung thư não hiện nay
Điều trị ung thư não cần cá thể hóa theo từng bệnh nhân, dựa trên: Loại u, vị trí, kích thước, độ tuổi và sức khỏe tổng thể, khả năng phẫu thuật
Phẫu thuật u não
Mục tiêu:
- Lấy tối đa mô u
- Giảm áp lực nội sọ
- Tạo mẫu mô để sinh thiết
Công nghệ hiện đại:
- Mổ não tỉnh (Awake craniotomy): giúp bảo vệ chức năng ngôn ngữ – vận động
- Hệ thống định vị thần kinh (Neuronavigation)
- Kính vi phẫu giúp tăng độ chính xác
Ví dụ thực tế: Nhiều ca u thùy trán lớn vẫn được mổ thành công nhờ kỹ thuật tỉnh táo, giúp bệnh nhân giữ nguyên khả năng nói sau phẫu thuật.
Xạ trị
Xạ trị tiêu diệt tế bào u bằng tia năng lượng cao.
Các phương pháp hiện đại:
- Gamma Knife: phù hợp với u nhỏ, vị trí khó phẫu thuật
- CyberKnife: độ chính xác cao, hạn chế tổn thương mô lành
- Xạ trị toàn não: dành cho ung thư di căn nhiều ổ
- Xạ trị thường áp dụng sau phẫu thuật để hạn chế tái phát.
Hóa trị trong ung thư não
Thuốc phổ biến nhất: Temozolomide (TMZ)
Ưu điểm:
- Dùng đường uống
- Thâm nhập tốt vào hàng rào máu – não
- Kết hợp xạ trị + TMZ là phác đồ chuẩn cho glioblastoma (theo hướng dẫn NCCN).
Điều trị nhắm trúng đích & liệu pháp miễn dịch
Các phương pháp mới:
- Bevacizumab: ức chế tăng sinh mạch máu nuôi u
- Liệu pháp miễn dịch (immune checkpoint inhibitors): tiềm năng trong u não tái phát
- Đây là hướng đi tương lai, đang được nghiên cứu mở rộng.
Điều trị hỗ trợ và chăm sóc giảm nhẹ
Bao gồm:
- Thuốc chống phù não (Dexamethasone)
- Thuốc chống co giật
- Giảm đau
- Vật lý trị liệu – phục hồi chức năng
- Hỗ trợ rất quan trọng để cải thiện chất lượng sống.
Tỷ lệ sống và tiên lượng theo giai đoạn
Theo dữ liệu từ Hiệp hội Ung thư Hoa Kỳ:
- Glioblastoma: sống trung bình 12–18 tháng
- Astrocytoma độ II: có thể 5–10 năm
- Meningioma lành tính: tỷ lệ sống 10 năm > 80%
Tiên lượng phụ thuộc lớn vào:
- Tuổi
- Loại u
- Khả năng phẫu thuật triệt để
- Kiên trì điều trị kết hợp
Xem thêm thông tin chi tiết: Hướng dẫn các phương pháp điều trị ung thư não hiệu quả
Ung thư não có chữa được không?
Các yếu tố ảnh hưởng tiên lượng
- Loại u và độ ác tính
- Vị trí u
- Tình trạng sức khỏe nền
- Mức đáp ứng với điều trị
Cơ hội sống theo từng loại u
- Meningioma: tiên lượng tốt nhất
- U tế bào hình sao Grade II–III: sống kéo dài nếu điều trị sớm
- Glioblastoma: ác tính cao nhưng có thể cải thiện với phác đồ chuẩn Stupp
Điều gì giúp kéo dài thời gian sống cho bệnh nhân?
- Phẫu thuật tối đa nhưng vẫn an toàn
- Xạ trị & hóa trị đúng phác đồ
- Theo dõi tái khám định kỳ
- Lối sống lành mạnh (ngủ đủ, hạn chế chất kích thích)
Xem thêm thông tin chi tiết: Ung thư não có chữa được không? Giải đáp chi tiết
Phòng ngừa ung thư não
Thói quen sinh hoạt lành mạnh
- Giảm tiếp xúc khói thuốc
- Ăn uống cân bằng
- Tập thể dục đều đặn
.jpg)
Thói quen sinh hoạt lành mạnh để phòng ngừa ung thư não
Hạn chế tiếp xúc bức xạ, hóa chất
- Luôn mang đồ bảo hộ khi làm trong môi trường độc hại
- Tránh chụp CT quá thường xuyên nếu không cần thiết
Tầm soát & khám sức khỏe định kỳ
Đặc biệt quan trọng với người có yếu tố nguy cơ di truyền hoặc từng xạ trị vùng đầu.
Khi nào cần gặp bác sĩ?
Dấu hiệu nguy hiểm không được chủ quan
- Đau đầu kéo dài kèm nôn
- Co giật lần đầu tiên
- Thị lực giảm nhanh
- Yếu liệt nửa người
Trường hợp cần can thiệp cấp cứu
- Giảm tri giác
- Nôn liên tục
- Dấu hiệu đột quỵ
Kết luận
Ung thư não là bệnh nguy hiểm nhưng có thể cải thiện tiên lượng nếu phát hiện sớm và điều trị đúng phác đồ. Việc hiểu rõ triệu chứng, nguyên nhân, phương pháp chẩn đoán và điều trị sẽ giúp người bệnh chủ động hơn trong hành trình chăm sóc sức khỏe. Nếu bạn hoặc người thân có các dấu hiệu nghi ngờ, hãy đến khám tại các cơ sở y tế chuyên khoa thần kinh – ung bướu để được tư vấn kịp thời.
Bên cạnh đó, nếu bạn muốn hiểu sâu hơn về các bệnh lý ung thư cũng như các kiến thức hữu ích về sức khỏe, hãy truy cập vào fanpage Thuocungthu.net - Hiểu bệnh, hiểu thuốc để cập nhật những thông tin y khoa chính thống cũng như các mẹo bảo vệ sức khỏe.
Câu hỏi thường gặp về ung thư não (FAQ)
Ung thư não có lây không?
Không. Ung thư não không phải bệnh lây nhiễm.
Ung thư não có di truyền không?
Một số hội chứng di truyền làm tăng nguy cơ, nhưng đa số ca không mang tính di truyền.
Người trẻ có mắc ung thư não không?
Có. Một số loại như medulloblastoma rất phổ biến ở trẻ em.
U não có phải ung thư không?
Không phải mọi u não đều là ung thư. Có u lành tính và u ác tính.
MRI có phát hiện được ung thư não không?
Có. MRI là phương pháp chính xác nhất để phát hiện khối u trong não.
Số lần xem: 24
