Các phương pháp chẩn đoán ung thư não hiện nay
- Tổng quan về ung thư não và tầm quan trọng của chẩn đoán sớm
- Vì sao ung thư não nguy hiểm?
- Dấu hiệu nghi ngờ ung thư não cần đi khám ngay
- Khi nào cần đến bệnh viện để chẩn đoán?
- Các phương pháp chẩn đoán ung thư não hiện nay
- Quy trình chẩn đoán ung thư não chuẩn tại bệnh viện
- Độ chính xác của từng phương pháp chẩn đoán
- Kết luận
- FAQ – Câu hỏi thường gặp
Ung thư não là một trong những bệnh lý thần kinh nguy hiểm nhất, có khả năng ảnh hưởng trực tiếp đến vận động, cảm giác, trí nhớ và tính mạng người bệnh. Việc phát hiện sớm đóng vai trò quyết định trong tiên lượng điều trị: theo thống kê của Hiệp hội Ung thư Hoa Kỳ (ACS, 2023), tỷ lệ sống 5 năm của bệnh nhân u não ác tính có thể cải thiện đáng kể khi được chẩn đoán ở giai đoạn sớm, trước khi khối u xâm lấn sâu vào mô não hoặc lan rộng sang các vùng lân cận. Tuy nhiên, triệu chứng của ung thư não thường mơ hồ, dễ nhầm lẫn với đau đầu thông thường, rối loạn tiền đình, stress hay bệnh lý mắt. Điều này đòi hỏi người đọc – đặc biệt là các gia đình có người từng bị u não – phải hiểu rõ các phương pháp chẩn đoán ung thư não hiện nay để chủ động tầm soát kịp thời.
Trong bài viết này, Thuốc Ung Thư chia sẻ dựa trên kinh nghiệm thực tế từ lĩnh vực nội thần kinh và tham khảo tiêu chuẩn chẩn đoán của Mayo Clinic, 2023. Nội dung được trình bày rõ ràng, dễ hiểu nhưng vẫn đảm bảo tính khoa học, giúp bạn có cái nhìn toàn diện nhất về quy trình phát hiện ung thư não.
Tổng quan về ung thư não và tầm quan trọng của chẩn đoán sớm
Ung thư não là gì? Phân loại u não
Ung thư não là tình trạng các tế bào bất thường trong não phát triển không kiểm soát, hình thành khối u chèn ép hoặc xâm lấn mô thần kinh. U não được chia thành hai nhóm lớn:
- U não nguyên phát (Primary brain tumors): xuất phát từ mô não hoặc hệ thần kinh trung ương.
Ví dụ: Glioblastoma, Astrocytoma, Meningioma.
- U não thứ phát (di căn): phổ biến hơn, hình thành từ tế bào ung thư di căn từ phổi, gan, vú, da (melanoma)… lên não.
Khả năng phát triển và mức độ nguy hiểm tùy thuộc vào cấp độ (grade 1–4). Trong đó, glioblastoma (GBM) – u ác tính cấp độ 4 – là dạng nguy hiểm nhất.
Ví dụ thực tế: Nhiều bệnh nhân GBM ban đầu chỉ có triệu chứng đau đầu kéo dài, nhưng chỉ sau 2–3 tháng, khối u đã tăng kích thước nhanh chóng, gây yếu liệt nửa người. Điều này cho thấy việc chẩn đoán sớm có thể làm thay đổi hoàn toàn phác đồ điều trị.
Vì sao ung thư não nguy hiểm?
Não là cơ quan điều khiển mọi hoạt động của cơ thể, nên chỉ một khối u nhỏ cũng có thể gây:
- Rối loạn ngôn ngữ
- Giảm trí nhớ
- Mất thăng bằng
- Động kinh
- Thay đổi tính cách
Ngoài ra, khối u thường phát triển âm thầm, ít gây đau đớn như các loại ung thư khác, dẫn đến việc bệnh nhân đến viện muộn.
Tại sao chẩn đoán sớm có ý nghĩa sống còn?
Chẩn đoán ung thư não sớm giúp:
- Tăng tỷ lệ sống thêm 2–3 lần (theo ACS 2023)
- Giảm nguy cơ tổn thương thần kinh vĩnh viễn
- Tạo cơ hội điều trị bằng phương pháp ít xâm lấn hơn
- Lên kế hoạch phẫu thuật tối ưu và an toàn
- Gia tăng tỷ lệ đáp ứng với xạ trị – hoá trị
Tóm lại, chẩn đoán sớm không chỉ giúp kéo dài sự sống mà còn giúp bảo tồn chức năng não – yếu tố quan trọng quyết định chất lượng cuộc sống sau điều trị.
Dấu hiệu nghi ngờ ung thư não cần đi khám ngay
Triệu chứng của ung thư não có thể khác nhau tùy vị trí khối u. Dưới đây là các dấu hiệu dễ bị bỏ qua nhất.
Triệu chứng thần kinh phổ biến
Những triệu chứng liên quan trực tiếp đến não thường gặp nhất gồm:
- Đau đầu kéo dài, tăng dần theo thời gian
- Buồn nôn, nôn ói buổi sáng
- Mờ mắt, nhìn đôi
- Động kinh khởi phát ở tuổi trưởng thành
- Mất thăng bằng, khó đi lại
- Thay đổi trí nhớ, giảm tập trung
- Tê bì mặt hoặc tay chân
Triệu chứng toàn thân
- Mệt mỏi kéo dài
- Rối loạn giấc ngủ
- Sụt cân không rõ nguyên nhân
- Thay đổi cảm xúc: nóng nảy, trầm lặng bất thường
Những triệu chứng này thường khiến bệnh nhân nhầm với stress hoặc thiếu ngủ, nhưng khi kết hợp với đau đầu kéo dài, cần phải đi khám.

Giảm tập trung dấu hiệu nghi ngờ ung thư não
Xem thêm: 12 dấu hiệu ung thư não dễ nhận biết sớm
Khi nào cần đến bệnh viện để chẩn đoán?
Bạn nên đến khám chuyên khoa thần kinh hoặc ung bướu nếu:
- Đau đầu ≥ 2 tuần, uống thuốc không đỡ
- Xuất hiện co giật lần đầu tiên trong đời
- Giảm thị lực nhanh
- Yếu liệt tay chân
- Triệu chứng tiến triển nhanh bất thường
Lời khuyên: Không nên tự uống thuốc giảm đau kéo dài hoặc theo dõi tại nhà. Các bệnh viện lớn có khoa thần kinh hoặc ung bướu đều có thể thực hiện các xét nghiệm cần thiết để loại trừ ung thư não.
Các phương pháp chẩn đoán ung thư não hiện nay
Đây là phần quan trọng nhất trong toàn bộ quy trình. Mỗi kỹ thuật có vai trò khác nhau, thường được bác sĩ kết hợp để đưa ra chẩn đoán chính xác.
Khám lâm sàng thần kinh
Đây là bước đầu tiên và bắt buộc trong quá trình chẩn đoán ung thư não.
Bác sĩ sẽ kiểm tra:
- Thị lực – đồng tử
- Sức cơ tay chân
- Cảm giác da
- Phản xạ
- Thăng bằng và điều phối
- Ngôn ngữ, trí nhớ và mức độ tỉnh táo
Mặc dù khám lâm sàng không thể xác định ung thư não, nhưng nó giúp bác sĩ định hướng vị trí tổn thương, từ đó chỉ định MRI hoặc CT hợp lý, tránh lãng phí chi phí cho bệnh nhân.
Chẩn đoán hình ảnh
Chẩn đoán hình ảnh đóng vai trò “xương sống” trong quy trình xác định u não. Trong thực hành lâm sàng, bác sĩ thường kết hợp 2–3 kỹ thuật để tăng độ chính xác và phân loại khối u.
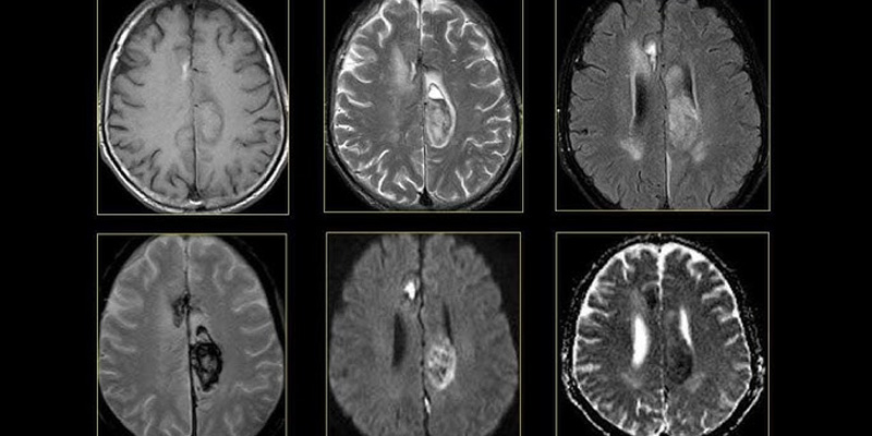
MRI não
MRI (Magnetic Resonance Imaging) được xem là tiêu chuẩn vàng trong đánh giá u não nhờ khả năng hiển thị chi tiết cấu trúc mô mềm, giúp bác sĩ nhận diện rõ:
- Kích thước và vị trí khối u
- Mức độ xâm lấn mô não
- Tình trạng phù não xung quanh
- Phân biệt u lành – u ác
- Xác định giới hạn để lập kế hoạch phẫu thuật
Ưu điểm là không dùng tia X, độ phân giải cao, hình ảnh chi tiết mạch máu và mô mềm và cho phép chụp nhiều chuỗi (T1, T2, FLAIR, DWI…) để phân tích u. Ngược lại, cũng có một số nhược điểm như thời gian chụp lâu (20–45 phút), không phù hợp cho bệnh nhân có thiết bị kim loại trong người và chi phí cao hơn CT.
Theo Mayo Clinic (2023): MRI có khả năng phát hiện nhiều dạng u não mà CT không thấy được, đặc biệt là u nhỏ hoặc u ở vùng khó như thân não.
CT Scan não
CT Scan là kỹ thuật nhanh, dễ thực hiện, thường được chỉ định trong các trường hợp:
- Đau đầu dữ dội nghi ngờ xuất huyết
- Cấp cứu chấn thương
- Bệnh nhân không thể nằm MRI
- Đánh giá vôi hóa trong u (gợi ý meningioma, oligodendroglioma)
Ưu điểm là thời gian chụp nhanh (5–10 phút), giá cũng sẽ thấp hơn MRI, hữu ích trong tình huống cấp cứu nhưng có vài nhược điểm như sẽ dùng tia X, khả năng phân giải mô mềm kém hơn MRI và đôi khi không phát hiện được u nhỏ hoặc u nằm sâu.
PET/CT
PET/CT sử dụng chất phóng xạ nhẹ để phân tích mức độ hoạt động của tế bào, giúp:
- Phân biệt u ác (tăng chuyển hóa mạnh)
- Xác định di căn não từ các cơ quan khác
- Đánh giá đáp ứng điều trị sau xạ trị – hóa trị
Một số điểm mạnh như cho kết quả tổng thể toàn thân, giúp xác định ung thư nguyên phát chưa rõ nguồn, hữu ích trong theo dõi tái phát. Điểm yếu với giá thành cao (8–25 triệu tùy bệnh viện), sẽ không phù hợp cho phụ nữ mang thai.
Chụp mạch não (MRA/CTA)
- MRA: không dùng tia X, sử dụng máy MRI để đánh giá mạch máu
- CTA: dùng tia X kết hợp thuốc cản quang
Hai kỹ thuật này giúp:
- Đánh giá mức độ nuôi dưỡng khối u
- Phát hiện mạch máu bất thường
- Lập kế hoạch phẫu thuật
- Giảm nguy cơ chảy máu khi mổ

MRI chẩn đoán ung thư não
Các xét nghiệm chuyên sâu hỗ trợ chẩn đoán
Xét nghiệm máu – Có giúp chẩn đoán ung thư não không?
Không có dấu ấn sinh học (marker) trong máu nào có thể chẩn đoán chắc chắn ung thư não. Tuy nhiên, xét nghiệm máu vẫn rất quan trọng để:
- Loại trừ nhiễm trùng
- Đánh giá chức năng gan – thận trước khi chụp MRI có thuốc cản quang
- Kiểm tra chỉ số điện giải
Tóm lại, không thể dùng xét nghiệm máu để xác định ung thư não.
Xét nghiệm dịch não tủy (CSF)
Được thực hiện qua thủ thuật chọc dò thắt lưng.
Ý nghĩa:
- Tìm tế bào ung thư lan vào dịch não tủy
- Chẩn đoán lymphoma hệ thần kinh trung ương
- Đánh giá viêm màng não – phân biệt với nhiễm trùng
- Chỉ định hạn chế, vì có thể tăng áp lực nội sọ.
Sinh học phân tử
Ngày nay, chẩn đoán ung thư não không chỉ dựa vào hình ảnh mà còn vào đặc điểm gen của khối u:
- Đột biến IDH1/IDH2
- Methyl hóa MGMT
- 1p/19q codeletion
- Đột biến TERT
Những thông tin này giúp dự đoán:
- Mức độ ác tính
- Tốc độ phát triển
- Đáp ứng điều trị
Theo tổ chức WHO (phân loại 2021), sinh học phân tử trở thành tiêu chuẩn bắt buộc trong chẩn đoán u não hiện đại.
Sinh thiết não
Dù MRI rất chính xác, sinh thiết mới là bước xác nhận cuối cùng để khẳng định ung thư não.
Sinh thiết kim (stereotactic biopsy)
- Ít xâm lấn
- Dùng trong u nhỏ, u sâu hoặc khó phẫu thuật
- Thời gian hồi phục nhanh
Sinh thiết khi phẫu thuật cắt u
- Thực hiện trong quá trình mổ lấy khối u
- Lấy mẫu đủ lớn để phân tích mô học
- Độ chính xác cao nhất
Rủi ro có thể gặp
- Chảy máu nhẹ
- Nhiễm trùng
- Tổn thương mô não (hiếm gặp)
Thực tế tại nhiều bệnh viện lớn, tỷ lệ biến chứng sau sinh thiết <2%, nhờ ứng dụng định vị 3D và robot hỗ trợ.

Sinh thiết là bước xác định cuối cùng ung thư não
Kiểm tra chức năng thần kinh nâng cao
Điện não đồ (EEG)
- Phát hiện hoạt động điện bất thường
- Hữu ích ở bệnh nhân có cơn co giật
Đánh giá nhận thức (Neurocognitive testing)
- Đo trí nhớ, chú ý, tốc độ xử lý
- Giúp đánh giá ảnh hưởng của khối u lên chức năng não
- Hữu ích trước và sau điều trị
Quy trình chẩn đoán ung thư não chuẩn tại bệnh viện
Dưới đây là quy trình thực tế tại các bệnh viện tuyến trung ương:
- Khai thác triệu chứng và khám thần kinh
- Chụp MRI hoặc CT não
- Xét nghiệm máu – dịch não tủy (nếu cần)
- Sinh thiết khối u
- Phân loại giải phẫu bệnh + phân tích gen
- Hội chẩn đa chuyên khoa để đưa ra kế hoạch điều trị
Độ chính xác của từng phương pháp chẩn đoán
| Phương pháp | Độ chính xác | Ghi chú |
| MRI | 80–95% | Chi tiết nhất – tiêu chuẩn vàng |
| CT | 60–75% | Phù hợp cấp cứu |
| PET/CT | 70–90% | Tốt trong đánh giá di căn |
| Sinh thiết | ~100% | Khẳng định ung thư |
Khi nào cần kết hợp nhiều kỹ thuật?
- U nhỏ hoặc nằm sâu
- Tổn thương mờ trên MRI
- Nghi ngờ di căn từ cơ quan khác
- Phân loại giai đoạn để điều trị
Xem thêm: Nguyên nhân ung thư não: Các yếu tố nguy cơ phổ biến
Kết luận
Chẩn đoán ung thư não là một quy trình gồm nhiều bước, trong đó MRI, PET/CT và sinh thiết đóng vai trò quan trọng nhất. Việc hiểu rõ các phương pháp này giúp người bệnh chủ động tầm soát, không gây hoang mang khi nhận chỉ định, tăng cơ hội phát hiện sớm và điều trị hiệu quả. Ung thư não không thể ngăn ngừa hoàn toàn, nhưng phát hiện sớm có thể cứu sống người bệnh. Nếu bạn hoặc người thân có triệu chứng đáng nghi như đau đầu kéo dài, mờ mắt, rối loạn vận động, hãy đến cơ sở y tế uy tín để được chẩn đoán sớm.
Bên cạnh đó, nếu bạn muốn hiểu sâu hơn về các bệnh lý ung thư cũng như các kiến thức hữu ích về sức khỏe, hãy truy cập vào fanpage Thuocungthu.net - Hiểu bệnh, hiểu thuốc để cập nhật những thông tin y khoa chính thống cũng như các mẹo bảo vệ sức khỏe.
FAQ – Câu hỏi thường gặp
MRI có phát hiện được ung thư não không?
Có. MRI là kỹ thuật hiệu quả nhất hiện nay để phát hiện u não.
Chụp CT có đủ để chẩn đoán không?
Không hoàn toàn. CT hữu ích, nhưng MRI cần thiết để khẳng định.
Chẩn đoán ung thư não có đau không?
Các phương pháp hình ảnh đều không đau; sinh thiết có thể hơi khó chịu nhưng an toàn.
Bao lâu có kết quả?
MRI/CT có ngay trong ngày; sinh thiết mất 3–7 ngày.
Số lần xem: 177
