Phổi trắng là gì? Nguyên nhân, độ nguy hiểm và phòng ngừa
Phổi trắng là cụm từ khiến nhiều người lo lắng khi nhận kết quả chụp X-quang hoặc CT. Không ít trường hợp chỉ phát hiện khi bệnh đã tiến triển nặng, gây khó thở nghiêm trọng, thậm chí phải thở máy. Điều đáng nói là đây không phải một bệnh cụ thể, mà là dấu hiệu cảnh báo nhiều vấn đề nguy hiểm liên quan đến hệ hô hấp. Trong bối cảnh ô nhiễm không khí, dịch bệnh và các bệnh lý hô hấp ngày càng gia tăng, việc hiểu đúng về phổi trắng giúp bạn nhận diện sớm nguy cơ, từ đó có hướng xử lý kịp thời, tránh biến chứng đáng tiếc.
Phổi trắng là gì?
“Phổi trắng” là cách gọi mô tả hình ảnh bất thường của phổi trên phim chụp X-quang hoặc CT ngực. Ở người khỏe mạnh, phổi chứa nhiều không khí nên hình ảnh thường khá trong, cho phép tia X đi qua dễ dàng. Ngược lại, khi mô phổi bị tổn thương như viêm nhiễm, tích tụ dịch, xơ hóa hoặc xuất hiện khối u, mật độ mô tăng lên làm vùng phổi hiện lên mờ trắng trên phim.
Cần hiểu rằng phổi trắng không phải là một chẩn đoán bệnh cụ thể, mà chỉ là dấu hiệu hình ảnh học. Để xác định chính xác nguyên nhân, bác sĩ phải dựa vào triệu chứng lâm sàng, tiền sử bệnh và các xét nghiệm chuyên sâu. Tình trạng này có thể liên quan đến nhiều bệnh lý khác nhau, từ nhiễm trùng hô hấp đến các bệnh mạn tính hoặc nghiêm trọng hơn.

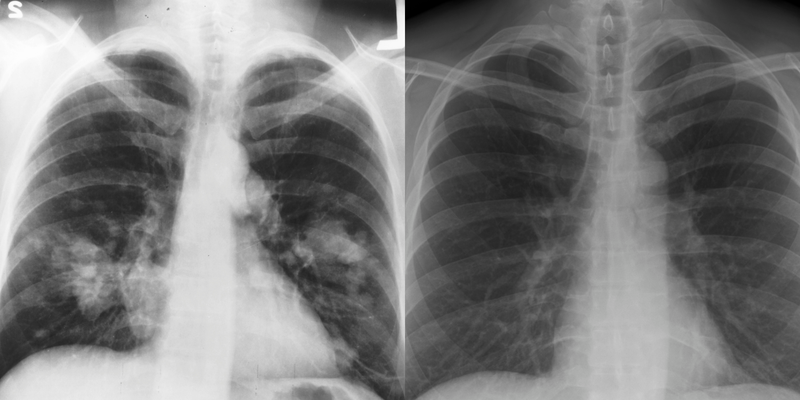
Hình ảnh phổi trắng khi chụp X-quang
Dấu hiệu nhận biết tình trạng phổi trắng
Những người có hình ảnh phổi trắng thường xuất hiện các biểu hiện liên quan đến hệ hô hấp. Ho kéo dài là triệu chứng thường gặp, có thể là ho khan hoặc ho có đờm, thậm chí đôi khi có lẫn máu. Bên cạnh đó, người bệnh có thể cảm thấy khó thở, hụt hơi ngay cả khi không vận động nhiều, kèm theo cảm giác nặng ngực và mệt mỏi.
Trong một số trường hợp, đặc biệt khi nguyên nhân liên quan đến nhiễm trùng nặng, lao phổi hoặc ung thư, người bệnh có thể bị sốt cao, ớn lạnh, ăn uống kém và giảm cân nhanh. Điều đáng chú ý là ở giai đoạn sớm, các triệu chứng đôi khi khá mờ nhạt, dễ bị nhầm với cảm cúm thông thường. Thậm chí, có người không có biểu hiện rõ ràng và chỉ phát hiện tình trạng này khi kiểm tra sức khỏe định kỳ.
Việc nhận biết sớm các dấu hiệu bất thường và thăm khám kịp thời đóng vai trò quan trọng trong việc xác định nguyên nhân và điều trị hiệu quả.
Nguyên nhân gây phổi trắng và những điều cần hiểu rõ
“Phổi trắng” không phải là tên của một bệnh cụ thể, mà là thuật ngữ mô tả hình ảnh bất thường trên phim X-quang hoặc CT ngực khi nhu mô phổi bị mờ đục. Tình trạng này phản ánh nhiều vấn đề sức khỏe khác nhau, từ nhiễm trùng đơn giản đến các bệnh lý nghiêm trọng cần can thiệp khẩn cấp. Dưới đây là những nguyên nhân phổ biến và quan trọng mà người đọc nên nắm rõ:
1. Viêm phổi do vi khuẩn hoặc virus
Đây là nguyên nhân thường gặp nhất. Khi phổi bị nhiễm trùng, các phế nang chứa đầy dịch viêm và mủ, tạo nên hình ảnh trắng rõ trên phim chụp. Người bệnh thường có biểu hiện sốt, ho (có thể có đờm hoặc khan), đau tức ngực và khó thở. Nếu không điều trị đúng cách, viêm phổi có thể tiến triển nhanh và gây biến chứng nguy hiểm.
2. Lao phổi
Lao là bệnh truyền nhiễm mạn tính, có thể gây tổn thương lan rộng trong phổi. Trên hình ảnh học, các vùng viêm, hoại tử hoặc xơ hóa sẽ hiện lên dưới dạng các mảng trắng. Dấu hiệu điển hình bao gồm ho kéo dài, ho ra máu, sốt nhẹ về chiều và ra mồ hôi ban đêm.
3. Nhiễm nấm phổi
Mặc dù ít gặp hơn, nhiễm nấm phổi lại thường xảy ra ở người có hệ miễn dịch suy yếu. Nấm có thể tạo thành các khối hoặc vùng tổn thương bất thường trong phổi, gây ho kéo dài, sốt dai dẳng và sụt cân. Nếu không được phát hiện sớm, bệnh có thể diễn tiến nặng.
4. Ung thư phổi
Khối u trong phổi có thể làm thay đổi cấu trúc nhu mô và xuất hiện dưới dạng vùng trắng trên phim. Triệu chứng thường không rõ ràng ở giai đoạn đầu, nhưng về sau có thể bao gồm ho ra máu, đau ngực, khàn tiếng và giảm cân không rõ nguyên nhân. Đây là một trong những nguyên nhân nguy hiểm nhất của tình trạng phổi trắng.
5. Xẹp phổi
Khi đường thở bị tắc nghẽn bởi đờm, dị vật hoặc khối u, một phần hoặc toàn bộ phổi có thể bị xẹp. Điều này khiến vùng phổi đó không chứa không khí và hiện lên trắng trên phim chụp. Người bệnh thường cảm thấy khó thở, đau ngực và có thể thiếu oxy.
6. Tràn dịch màng phổi
Dịch tích tụ trong khoang màng phổi sẽ che lấp nhu mô bên dưới, tạo hình ảnh trắng đặc. Nguyên nhân có thể do nhiễm trùng, lao, ung thư hoặc bệnh tim. Triệu chứng thường là nặng ngực, khó thở và ho kéo dài. Việc dẫn lưu dịch kịp thời là rất quan trọng.
7. Hội chứng suy hô hấp cấp (ARDS) và phù phổi
Đây là những tình trạng nghiêm trọng, thường gặp ở bệnh nhân nặng. Dịch tràn vào các phế nang khiến cả hai phổi bị mờ trắng lan tỏa. Người bệnh nhanh chóng rơi vào suy hô hấp và thường cần hỗ trợ thở máy. Đây là cấp cứu y khoa cần xử trí ngay.
8. Tác động từ môi trường và thói quen sống
Việc tiếp xúc lâu dài với khói bụi, hóa chất độc hại hoặc khói thuốc lá có thể gây viêm mạn tính và xơ hóa phổi. Theo thời gian, những tổn thương này sẽ biểu hiện thành các vùng trắng trên phim chụp, kèm theo ho kéo dài, khò khè và suy giảm chức năng hô hấp.

Virus là một trong những nguyên nhân thường thấy gây tình trạng phổi trắng
Phổi trắng có chữa được không?
Khả năng điều trị phổi trắng phụ thuộc chủ yếu vào nguyên nhân gây bệnh và thời điểm can thiệp. Khi được chẩn đoán sớm, nhiều trường hợp có thể điều trị hiệu quả, đặc biệt là các bệnh lý nhiễm trùng thông thường. Việc áp dụng đúng phác đồ giúp kiểm soát viêm, cải thiện chức năng hô hấp và phục hồi tổn thương phổi.
Ngược lại, nếu bệnh được phát hiện muộn hoặc đã xuất hiện biến chứng, quá trình điều trị sẽ kéo dài và khó khăn hơn. Một số trường hợp không thể hồi phục hoàn toàn nhưng vẫn có thể kiểm soát tốt nếu tuân thủ điều trị và theo dõi sát sao.
Trên thực tế, mục tiêu điều trị không chỉ là chữa khỏi mà còn nhằm giảm triệu chứng, ngăn ngừa tiến triển nặng và cải thiện chất lượng cuộc sống. Do đó, người bệnh cần chủ động đi khám khi có dấu hiệu nghi ngờ và tuân thủ hướng dẫn của bác sĩ để đạt hiệu quả điều trị tối ưu.
Phổi trắng có nguy hiểm không?
Tình trạng phổi trắng trên phim chụp (thường là X-quang hoặc CT) là dấu hiệu cho thấy nhu mô phổi bị tổn thương, mất đi độ trong khí bình thường. Mức độ nguy hiểm không nằm ở bản thân hình ảnh này, mà phụ thuộc vào nguyên nhân phía sau.
Trong nhiều trường hợp, phổi trắng xuất phát từ viêm phổi do vi khuẩn hoặc virus. Nếu được phát hiện sớm và điều trị đúng cách, người bệnh hoàn toàn có thể hồi phục tốt. Tuy nhiên, khi nguyên nhân liên quan đến các bệnh lý nghiêm trọng hơn như lao phổi, nhiễm nấm sâu hoặc ung thư phổi, diễn tiến thường phức tạp, dễ dẫn đến suy hô hấp, giảm khả năng trao đổi oxy và có thể đe dọa tính mạng.
Đặc biệt, những đối tượng như người cao tuổi, trẻ nhỏ hoặc người có bệnh nền mạn tính (đái tháo đường, tim mạch, suy giảm miễn dịch) thường có nguy cơ chuyển nặng nhanh hơn. Vì vậy, khi xuất hiện các dấu hiệu như khó thở, ho kéo dài, sốt hoặc mệt mỏi bất thường, việc thăm khám sớm là rất cần thiết để tránh biến chứng nghiêm trọng.
Phương pháp chẩn đoán và điều trị phổi trắng hiệu quả
Để xử lý tình trạng phổi trắng một cách chính xác, điều quan trọng nhất là xác định đúng nguyên nhân gây bệnh. Đây không phải là một chẩn đoán cụ thể mà là dấu hiệu trên hình ảnh cho thấy phổi có tổn thương. Vì vậy, bác sĩ thường phải kết hợp nhiều phương pháp khác nhau để đưa ra kết luận chính xác.
Cách chẩn đoán phổi trắng
Thông thường, bước đầu tiên là chụp X-quang ngực nhằm phát hiện các vùng bất thường có màu trắng trên nhu mô phổi. Tuy nhiên, X-quang chỉ mang tính định hướng. Khi cần đánh giá chi tiết hơn, chụp CT scan sẽ được chỉ định để quan sát rõ cấu trúc bên trong phổi.
Bên cạnh đó, các xét nghiệm như xét nghiệm máu, phân tích đờm, nuôi cấy vi sinh hoặc kiểm tra nấm cũng đóng vai trò quan trọng trong việc tìm nguyên nhân nhiễm trùng. Trong một số trường hợp phức tạp, sinh thiết mô phổi có thể được thực hiện để xác định bản chất tổn thương.
Nếu có dấu hiệu nghi ngờ lao, bác sĩ có thể chỉ định test Mantoux hoặc xét nghiệm PCR để phát hiện vi khuẩn lao. Trường hợp nghi ngờ ung thư, nội soi phế quản, chụp PET-CT hoặc sinh thiết khối u sẽ giúp chẩn đoán chính xác hơn. Việc kết hợp nhiều phương pháp giúp hạn chế sai sót và đảm bảo xây dựng hướng điều trị phù hợp.
Phương pháp điều trị phổi trắng
Việc điều trị phổi trắng phụ thuộc hoàn toàn vào nguyên nhân gây ra tình trạng này:
Nếu do nhiễm khuẩn: sử dụng kháng sinh phù hợp theo chỉ định, kết hợp nghỉ ngơi và kiểm soát triệu chứng.
Nếu do virus: chủ yếu điều trị hỗ trợ, tăng cường miễn dịch và hỗ trợ hô hấp khi cần thiết.
Trường hợp lao phổi: cần tuân thủ phác đồ điều trị kháng lao kéo dài và nghiêm ngặt.
Nhiễm nấm phổi: sử dụng thuốc kháng nấm đặc hiệu trong thời gian đủ dài.
Nếu liên quan đến ung thư phổi: có thể cần phối hợp các phương pháp như phẫu thuật, hóa trị hoặc xạ trị.
Ngoài điều trị y khoa, người bệnh cần duy trì chế độ ăn uống đầy đủ dinh dưỡng, nghỉ ngơi hợp lý và tránh các yếu tố gây hại như khói thuốc hay môi trường ô nhiễm. Tuân thủ hướng dẫn của bác sĩ là yếu tố then chốt để cải thiện tình trạng bệnh và hạn chế biến chứng.
Cách phòng ngừa và bảo vệ phổi
Phòng ngừa phổi trắng bắt đầu từ việc xây dựng lối sống lành mạnh. Không hút thuốc lá và hạn chế tiếp xúc với khói bụi là nguyên tắc quan trọng. Khi làm việc hoặc di chuyển trong môi trường ô nhiễm, nên sử dụng khẩu trang để bảo vệ đường hô hấp.
Không gian sống cần được giữ sạch sẽ, thông thoáng nhằm giảm nguy cơ tiếp xúc với vi khuẩn và nấm mốc. Việc luyện tập thể dục thường xuyên giúp tăng cường chức năng phổi và cải thiện sức đề kháng.
Tiêm phòng các loại vắc xin như cúm hoặc phế cầu cũng góp phần giảm nguy cơ mắc các bệnh lý hô hấp. Đồng thời, khám sức khỏe định kỳ, đặc biệt là kiểm tra phổi, sẽ giúp phát hiện sớm những bất thường và can thiệp kịp thời.
Về dinh dưỡng, nên bổ sung đầy đủ vitamin và chất chống oxy hóa từ rau xanh, trái cây tươi và các loại hạt. Các thực phẩm giàu omega-3 như cá béo hoặc hạt lanh cũng có lợi trong việc giảm viêm và hỗ trợ chức năng hô hấp. Một chế độ ăn cân đối không chỉ giúp phòng ngừa phổi trắng mà còn nâng cao sức khỏe tổng thể.

Bổ sung đầy đủ dưỡng chất giúp tăng cường hệ miễn dịch và bảo vệ phổi
Xem thêm
Kết luận
Phổi trắng là dấu hiệu cảnh báo nghiêm trọng về sức khỏe hô hấp, có thể liên quan đến nhiều bệnh lý nguy hiểm như viêm phổi nặng, phù phổi hay suy hô hấp cấp. Tuy không phải là một bệnh riêng biệt, nhưng mức độ nguy hiểm của nó phụ thuộc rất lớn vào nguyên nhân và thời điểm phát hiện. Chủ động bảo vệ phổi, nhận biết sớm triệu chứng và thăm khám kịp thời chính là cách hiệu quả nhất để giảm thiểu rủi ro.
Bên cạnh đó, nếu bạn muốn hiểu sâu hơn về các bệnh lý ung thư cũng như các kiến thức hữu ích về sức khỏe, hãy truy cập vào fanpage Thuocungthu.net - Hiểu bệnh, hiểu thuốc để cập nhật những thông tin y khoa chính thống cũng như các mẹo bảo vệ sức khỏe.
Câu hỏi thường gặp (FAQ)
Phổi trắng sống được bao lâu?
Phụ thuộc vào nguyên nhân và mức độ tổn thương. Nếu phát hiện sớm, nhiều trường hợp vẫn có thể hồi phục tốt.
Phổi trắng có nguy hiểm hơn viêm phổi không?
Phổi trắng thường là biểu hiện của viêm phổi nặng hoặc bệnh lý nghiêm trọng hơn, nên mức độ nguy hiểm cao hơn.
Sau điều trị, phổi có trở lại bình thường không?
Một số trường hợp hồi phục hoàn toàn, nhưng cũng có trường hợp để lại xơ phổi, ảnh hưởng lâu dài.
Số lần xem: 37
