Bệnh phổi trắng sống được bao lâu? Có thể sống chung với bệnh không?
- Bệnh phổi trắng là gì?
- Bệnh phổi trắng sống được bao lâu?
- Tiên lượng của bệnh phổi trắng theo từng nguyên nhân
- Có thể sống chung với bệnh phổi trắng không?
- Những yếu tố ảnh hưởng đến tuổi thọ của người mắc bệnh phổi trắng
- Sự khác biệt về tuổi thọ khi bệnh phổi trắng tiến triển nặng
- Kết luận
- Câu hỏi thường gặp (FAQ)
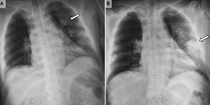
Bệnh phổi trắng sống được bao lâu là câu hỏi khiến nhiều người hoang mang ngay khi nhận kết quả chụp X-quang hoặc CT với hình ảnh “trắng xóa” bất thường ở phổi. Không ít trường hợp rơi vào trạng thái lo lắng cực độ vì cho rằng đây là dấu hiệu của bệnh lý nguy hiểm, thậm chí đe dọa tính mạng. Thực tế, “phổi trắng” không phải là một bệnh cụ thể mà là biểu hiện của tổn thương phổi nghiêm trọng do nhiều nguyên nhân khác nhau. Tiên lượng sống của người bệnh vì thế cũng rất khác biệt — có người hồi phục hoàn toàn, nhưng cũng có trường hợp diễn tiến nặng trong thời gian ngắn. Bài viết dưới đây, Thuốc Ung Thư sẽ giúp bạn hiểu rõ bản chất của tình trạng này, giải đáp chính xác bệnh phổi trắng sống được bao lâu, đồng thời cung cấp hướng điều trị và cách kéo dài tuổi thọ một cách khoa học.
Bệnh phổi trắng là gì?
Bệnh phổi trắng không phải là tên gọi của một bệnh cụ thể mà là thuật ngữ thường dùng trong chẩn đoán hình ảnh, đặc biệt trên phim X-quang hoặc CT ngực. Khi quan sát thấy vùng phổi mất đi màu đen đặc trưng của khí và thay bằng hình ảnh trắng đục, bác sĩ sẽ nghĩ đến tình trạng phổi bị lấp đầy bởi dịch, mủ, tế bào viêm hoặc mô xơ. Đây là dấu hiệu cảnh báo những bệnh lý hô hấp nghiêm trọng như viêm phổi nặng, phù phổi cấp hoặc xơ phổi tiến triển.
Điều đáng lo ngại của tình trạng này là sự suy giảm chức năng trao đổi khí của phổi. Khi các phế nang bị tổn thương và dần bị thay thế bằng mô xơ, phổi trở nên kém đàn hồi, cứng hơn và không còn hoạt động hiệu quả. Hệ quả là người bệnh dễ rơi vào tình trạng khó thở kéo dài, thiếu oxy máu, thậm chí tiến triển thành suy hô hấp nếu không được can thiệp kịp thời.
Trong thực tế lâm sàng, “bệnh phổi trắng” thường xuất hiện ở những trường hợp nặng hoặc diễn tiến nhanh. Nhóm đối tượng như người cao tuổi, trẻ nhỏ hoặc người có bệnh nền về tim phổi sẽ có nguy cơ cao gặp biến chứng nghiêm trọng hơn. Ngoài ra, tổn thương phổi lan rộng có thể để lại di chứng lâu dài, ảnh hưởng đến chất lượng cuộc sống về sau.
Vì vậy, việc phát hiện sớm thông qua các dấu hiệu như ho kéo dài, khó thở, sốt cao hoặc mệt mỏi bất thường là rất quan trọng. Kết hợp với chẩn đoán hình ảnh và điều trị đúng hướng, người bệnh có thể giảm thiểu nguy cơ biến chứng và cải thiện tiên lượng đáng kể.
Bệnh phổi trắng sống được bao lâu?
“Bệnh phổi trắng sống được bao lâu?” là thắc mắc phổ biến của nhiều người khi nhận được chẩn đoán liên quan đến tình trạng này. Trên thực tế, không có một con số cụ thể áp dụng cho tất cả trường hợp, bởi tiên lượng sống phụ thuộc rất lớn vào nguyên nhân gây ra hiện tượng “phổi trắng” trên phim chụp.
Nếu tình trạng này xuất phát từ các bệnh lý nghiêm trọng như ung thư phổi giai đoạn muộn, thời gian sống có thể chỉ kéo dài trong vài tháng nếu không đáp ứng điều trị. Ngược lại, với những bệnh mạn tính như xơ phổi, người bệnh vẫn có thể duy trì cuộc sống trong nhiều năm nếu được theo dõi và kiểm soát tốt. Trong trường hợp nguyên nhân là viêm phổi cấp tính, đặc biệt khi được phát hiện sớm và điều trị đúng cách, khả năng hồi phục hoàn toàn là hoàn toàn có thể.
Vì vậy, thay vì chỉ tập trung vào câu hỏi “bệnh phổi trắng sống được bao lâu”, người bệnh nên chủ động thăm khám chuyên khoa, xác định chính xác nguyên nhân và tuân thủ phác đồ điều trị. Việc phát hiện sớm và can thiệp kịp thời chính là yếu tố then chốt giúp cải thiện tiên lượng và chất lượng cuộc sống.

Bệnh phổi trắng sống được bao lâu là điều nhiều người bệnh quan tâm
Tiên lượng của bệnh phổi trắng theo từng nguyên nhân
Tiên lượng của bệnh phổi trắng không giống nhau ở mọi trường hợp, mà phụ thuộc nhiều vào nguyên nhân gây bệnh, giai đoạn phát hiện và khả năng đáp ứng điều trị. Việc hiểu rõ từng tình huống sẽ giúp người bệnh và gia đình có định hướng chăm sóc phù hợp hơn.
Trường hợp liên quan đến ung thư phổi
Khi hình ảnh phổi trắng xuất hiện ở giai đoạn muộn của ung thư phổi, đây thường là dấu hiệu bệnh đã tiến triển nặng. Ở giai đoạn này, tỷ lệ sống sau 5 năm khá thấp. Nếu không đáp ứng với điều trị, thời gian sống trung bình có thể chỉ kéo dài từ vài tháng đến khoảng một năm. Tuy nhiên, với các phương pháp điều trị tích cực như hóa trị, xạ trị hoặc liệu pháp nhắm trúng đích, một số bệnh nhân vẫn có thể cải thiện thời gian sống và chất lượng cuộc sống, thậm chí kéo dài thêm đáng kể so với dự đoán ban đầu.
Trường hợp do các bệnh lý phổi mạn tính
Với những nguyên nhân không phải ung thư, tiên lượng thường khả quan hơn. Ví dụ, xơ phổi là một trong những nguyên nhân phổ biến gây hình ảnh phổi trắng. Người bệnh sau khi được chẩn đoán có thể sống trung bình từ vài năm, tùy thuộc vào tốc độ tiến triển bệnh và hiệu quả điều trị. Nếu được phát hiện sớm, tuân thủ điều trị và kiểm soát tốt các yếu tố nguy cơ, chức năng hô hấp có thể được duy trì ổn định trong thời gian dài hơn.
Bệnh phổi nghề nghiệp và phơi nhiễm bụi
Trong các trường hợp liên quan đến bụi nghề nghiệp hoặc tiếp xúc với amiăng, tổn thương phổi thường mang tính chất mạn tính và không thể phục hồi hoàn toàn do xơ hóa mô phổi. Tuy nhiên, không phải tất cả bệnh nhân đều có tiên lượng xấu. Nhiều người vẫn có thể sống nhiều năm nếu bệnh được phát hiện sớm, hạn chế tiếp xúc với tác nhân gây hại và được theo dõi, điều trị đúng cách.
Yếu tố ảnh hưởng đến tiên lượng
Ngoài nguyên nhân, một số yếu tố quan trọng khác cũng tác động đến diễn tiến của bệnh phổi trắng như: độ tuổi, thể trạng, bệnh lý nền, mức độ tổn thương phổi và khả năng tiếp cận các phương pháp điều trị hiện đại. Việc thăm khám định kỳ và can thiệp sớm luôn đóng vai trò then chốt trong việc cải thiện kết quả điều trị.
Tóm lại, bệnh phổi trắng không phải là một chẩn đoán cụ thể mà là biểu hiện của nhiều bệnh lý khác nhau. Vì vậy, để đánh giá chính xác tiên lượng, người bệnh cần được xác định nguyên nhân rõ ràng và xây dựng phác đồ điều trị cá nhân hóa.
.png)
Bụi aminăng gây bệnh phổi mãn tính
Có thể sống chung với bệnh phổi trắng không?
Người mắc bệnh phổi trắng hoàn toàn có thể duy trì cuộc sống ổn định nếu kiểm soát tốt tình trạng bệnh và chủ động thay đổi lối sống. Mục tiêu không chỉ là hạn chế tiến triển tổn thương phổi mà còn cải thiện khả năng hô hấp và nâng cao chất lượng cuộc sống lâu dài. Để đạt được điều này, người bệnh cần kết hợp điều trị y tế với chăm sóc bản thân một cách khoa học.
Trước hết, việc tuân thủ hướng dẫn điều trị của bác sĩ đóng vai trò then chốt. Người bệnh cần dùng thuốc đúng liều, đúng thời gian, đồng thời theo dõi các bệnh lý đi kèm nếu có. Khám sức khỏe định kỳ giúp phát hiện sớm những biến chứng tiềm ẩn và điều chỉnh phác đồ điều trị kịp thời, từ đó hạn chế nguy cơ bệnh diễn tiến nặng.
Bên cạnh đó, thay đổi lối sống là yếu tố không thể bỏ qua. Việc ngừng hút thuốc lá là yêu cầu bắt buộc, đồng thời cần tránh tiếp xúc với khói thuốc thụ động, bụi mịn, khí thải và các tác nhân ô nhiễm khác. Không gian sống nên được giữ thông thoáng, sạch sẽ để giảm gánh nặng cho hệ hô hấp.
Chế độ dinh dưỡng cũng góp phần quan trọng trong việc hỗ trợ điều trị bệnh phổi trắng. Người bệnh nên xây dựng thực đơn cân đối, tăng cường rau xanh và trái cây giàu vitamin cùng chất chống oxy hóa. Những dưỡng chất này giúp tăng cường hệ miễn dịch và bảo vệ mô phổi trước các tác nhân gây hại. Ngoài ra, uống đủ nước mỗi ngày sẽ hỗ trợ làm loãng dịch tiết, giúp đường thở thông thoáng hơn.
Việc duy trì vận động thể chất phù hợp cũng mang lại nhiều lợi ích. Các bài tập nhẹ như đi bộ, tập thở hoặc yoga giúp cải thiện chức năng phổi và tăng cường sức bền tim mạch. Tuy nhiên, cần lựa chọn cường độ tập luyện phù hợp với thể trạng để tránh gây quá tải cho cơ thể.
Một yếu tố quan trọng khác là phòng ngừa nhiễm trùng đường hô hấp. Người bệnh nên tiêm phòng đầy đủ các loại vắc xin cần thiết như cúm và phế cầu. Đồng thời, giữ vệ sinh mũi họng sạch sẽ, đặc biệt trong những thời điểm thời tiết thay đổi hoặc môi trường ô nhiễm cao, sẽ giúp giảm nguy cơ tái nhiễm.
Trong trường hợp làm việc tại môi trường có nhiều bụi hoặc hóa chất, việc sử dụng các thiết bị bảo hộ như khẩu trang chuyên dụng là rất cần thiết. Điều này giúp hạn chế tiếp xúc trực tiếp với các yếu tố có thể làm tổn thương phổi.

Lối sống khoa học giúp gia tăng tuổi thọ khi mắc phổi trắng
Những yếu tố ảnh hưởng đến tuổi thọ của người mắc bệnh phổi trắng
Tuổi thọ của người mắc bệnh phổi trắng không cố định mà phụ thuộc vào nhiều yếu tố khác nhau. Trước hết, nguyên nhân gây bệnh đóng vai trò quan trọng, vì mỗi tác nhân sẽ có mức độ tiến triển và đáp ứng điều trị khác nhau. Bên cạnh đó, thời điểm phát hiện bệnh cũng mang ý nghĩa quyết định. Nếu được chẩn đoán sớm, khả năng kiểm soát bệnh và kéo dài thời gian sống sẽ cao hơn đáng kể.
Mức độ tổn thương tại phổi là một yếu tố then chốt khác. Khi nhu mô phổi bị ảnh hưởng rộng, chức năng hô hấp suy giảm sẽ làm tiên lượng trở nên kém hơn. Ngoài ra, tuổi tác và tình trạng sức khỏe tổng thể của người bệnh, đặc biệt là sự hiện diện của các bệnh lý nền như tim mạch hay tiểu đường, cũng tác động trực tiếp đến khả năng phục hồi.
Không thể bỏ qua vai trò của phương pháp điều trị và cách chăm sóc. Việc tuân thủ phác đồ, kết hợp chế độ dinh dưỡng hợp lý, tập luyện phù hợp và hạn chế các yếu tố nguy cơ như hút thuốc lá sẽ góp phần cải thiện chất lượng cuộc sống cũng như kéo dài tuổi thọ cho người bệnh phổi trắng.
Sự khác biệt về tuổi thọ khi bệnh phổi trắng tiến triển nặng
Ở giai đoạn nặng, bệnh phổi trắng thường gây ra những biến chứng nghiêm trọng như suy hô hấp cấp hoặc nhiễm trùng chồng lấp. Khi đó, chức năng trao đổi khí của phổi bị suy giảm rõ rệt, khiến cơ thể không được cung cấp đủ oxy để duy trì hoạt động sống.
Nếu không được can thiệp y tế kịp thời và tích cực, tình trạng này có thể diễn tiến nhanh, làm giảm đáng kể thời gian sống của người bệnh. Trong nhiều trường hợp, tiên lượng trở nên xấu chỉ trong thời gian ngắn. Ngược lại, nếu được hỗ trợ hô hấp, điều trị nguyên nhân và chăm sóc toàn diện, người bệnh vẫn có cơ hội cải thiện tình trạng và kéo dài sự sống.
Việc theo dõi sát sao và can thiệp sớm luôn là yếu tố then chốt giúp kiểm soát tiến triển của bệnh phổi trắng, đặc biệt ở những trường hợp có nguy cơ chuyển nặng.
Xem thêm
Kết luận
Bệnh phổi trắng sống được bao lâu phụ thuộc vào nhiều yếu tố, nhưng điều quan trọng nhất là phát hiện sớm và điều trị đúng hướng. Không phải mọi trường hợp đều nguy hiểm đến mức không thể cứu chữa — ngược lại, rất nhiều bệnh nhân đã hồi phục nếu được can thiệp kịp thời.
Bên cạnh đó, nếu bạn muốn hiểu sâu hơn về các bệnh lý ung thư cũng như các kiến thức hữu ích về sức khỏe, hãy truy cập vào fanpage Thuocungthu.net - Hiểu bệnh, hiểu thuốc để cập nhật những thông tin y khoa chính thống cũng như các mẹo bảo vệ sức khỏe.
Câu hỏi thường gặp (FAQ)
Phổi trắng có phải ung thư không?
Không. Phổi trắng chỉ là hình ảnh tổn thương, không đồng nghĩa với ung thư. Tuy nhiên, ung thư phổi giai đoạn muộn có thể gây ra tình trạng này.
Phổi trắng có lây không?
Không phải lúc nào cũng lây. Chỉ lây nếu nguyên nhân là bệnh nhiễm trùng (ví dụ viêm phổi do vi khuẩn hoặc virus).
Có chữa khỏi hoàn toàn không?
Có thể, nếu nguyên nhân là viêm phổi và được điều trị sớm. Tuy nhiên, một số trường hợp để lại di chứng lâu dài.
Số lần xem: 38
