Mô vú dày đặc là gì? Hiểu đúng để bảo vệ sức khỏe phụ nữ
- Tổng quan về mô vú dày đặc
- Mô vú dày đặc ảnh hưởng như thế nào đến sức khỏe?
- Nguyên nhân dày đặc mô vú?
- Dấu hiệu nhận biết và ảnh hưởng đến sức khỏe của mô vú dày đặc
- Khi nào nên đi khám?
- Chẩn đoán mô vú dày đặc: tiếp cận toàn diện và chính xác
- Cách tiếp cận với mô vú dày đặc
- Cách chủ động chăm sóc sức khỏe khi có mô vú dày đặc
- Kết luận
- Những câu hỏi thường gặp về mô vú dày đặc
Mô vú dày đặc là một thuật ngữ mà rất nhiều phụ nữ bất ngờ nhìn thấy trong kết quả chụp nhũ ảnh, nhưng lại không thực sự hiểu rõ ý nghĩa của nó. Chính sự mơ hồ này khiến không ít người rơi vào hai trạng thái cực đoan: hoặc lo lắng quá mức vì nghĩ đến ung thư vú, hoặc chủ quan cho rằng đây chỉ là đặc điểm bình thường không đáng quan tâm. Trên thực tế, theo các tổ chức y khoa, có đến gần một nửa phụ nữ sở hữu mô vú dày đặc ở những mức độ khác nhau. Đây không phải là bệnh, nhưng lại có liên quan trực tiếp đến khả năng phát hiện sớm ung thư vú – yếu tố quyết định hiệu quả điều trị. Vì vậy, hiểu đúng về mô vú dày đặc không chỉ giúp bạn giảm bớt lo lắng mà còn chủ động hơn trong việc bảo vệ sức khỏe của chính mình. Trong bài viết này, Thuốc Ung Thư sẽ cùng làm rõ bản chất của mô vú dày đặc, mức độ ảnh hưởng của nó và những điều bạn thực sự cần làm để kiểm soát rủi ro một cách khoa học.
Tổng quan về mô vú dày đặc
Vú của phụ nữ được hình thành từ ba thành phần chính, mỗi phần đảm nhiệm một vai trò riêng:
- Mô liên kết: Có chức năng nâng đỡ, giữ cấu trúc ổn định và bảo vệ các thành phần bên trong vú.
- Mô tuyến: Bao gồm các tiểu thùy sản xuất sữa và hệ thống ống dẫn đưa sữa ra núm vú.
- Mô mỡ: Phân bố xen kẽ giữa các mô khác, góp phần tạo nên hình dáng và độ mềm mại của bầu ngực.
Trước tuổi dậy thì, cấu trúc vú ở các bé gái gần như tương đồng. Khi bước vào giai đoạn dậy thì, dưới tác động của nội tiết tố, mô tuyến và mô mỡ bắt đầu phát triển, làm thay đổi kích thước và hình dạng vú.
Mô vú dày đặc là tình trạng trong đó tỷ lệ mô tuyến và mô liên kết chiếm ưu thế hơn so với mô mỡ. Đây không phải là điều có thể nhận biết bằng quan sát bên ngoài hay sờ nắn, mà thường được xác định thông qua chụp X-quang tuyến vú (mammography).
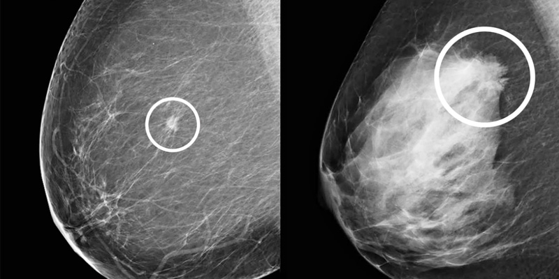
Trên phim chụp, mô dày đặc thường hiển thị màu trắng, tương tự như các bất thường tiềm ẩn, vì vậy đôi khi có thể gây khó khăn trong việc phát hiện sớm bệnh lý.
Thực tế, mô vú dày đặc không hiếm gặp. Khoảng một nửa phụ nữ khi chụp X-quang tuyến vú được ghi nhận có đặc điểm này. Tình trạng này thường xuất hiện nhiều hơn ở phụ nữ còn kinh nguyệt, do ảnh hưởng của hormone. Sau thời kỳ mãn kinh, tỷ lệ mô mỡ tăng lên khiến mật độ mô vú có xu hướng giảm.
Mô vú dày đặc ảnh hưởng như thế nào đến sức khỏe?
Mô vú dày đặc là một yếu tố quan trọng trong tầm soát và đánh giá nguy cơ ung thư vú. Tình trạng này không chỉ ảnh hưởng đến khả năng phát hiện bệnh mà còn có thể liên quan đến nguy cơ mắc ung thư cao hơn ở một số phụ nữ.

Mô vú dày đặc màu trắng trên phim chụp X-quang tuyến vú.
Làm giảm độ chính xác của chụp nhũ ảnh
Trong chụp X-quang tuyến vú, các mô tuyến và mô xơ – thành phần chính của mô vú dày đặc – thường hiển thị màu trắng. Điều đáng chú ý là các khối u hoặc tổn thương ung thư cũng có màu tương tự trên phim chụp. Sự “trùng màu” này khiến việc phát hiện bất thường trở nên khó khăn hơn, đặc biệt ở những người có mật độ mô cao.
Ngược lại, mô mỡ trong vú sẽ hiện lên màu tối hơn, tạo độ tương phản rõ rệt giúp bác sĩ dễ dàng nhận diện các khối u màu sáng. Vì vậy, phụ nữ có mô vú dày đặc thường cần kết hợp thêm các phương pháp chẩn đoán khác để tăng hiệu quả tầm soát.
Có thể làm tăng nguy cơ ung thư vú
Nhiều nghiên cứu cho thấy phụ nữ có mô vú dày đặc có xu hướng đối mặt với nguy cơ ung thư vú cao hơn so với những người có mật độ mô thấp. Dù cơ chế chính xác vẫn chưa được xác định hoàn toàn, một giả thuyết phổ biến cho rằng mô dày đặc chứa nhiều tế bào hơn, từ đó làm tăng khả năng xuất hiện các biến đổi bất thường.
Nguyên nhân dày đặc mô vú?
Hiện chưa có câu trả lời chính xác cho nguyên nhân khiến mật độ mô vú khác nhau giữa các phụ nữ. Tuy nhiên, một số yếu tố có thể liên quan:
Tuổi tác
Mật độ mô vú thường giảm dần theo thời gian, đặc biệt sau giai đoạn mãn kinh. Tuy vậy, vẫn có những trường hợp duy trì mô vú dày đặc ở nhiều độ tuổi khác nhau.
Chỉ số khối cơ thể (BMI)
Phụ nữ có thể trạng gầy hoặc ít mỡ cơ thể thường có xu hướng sở hữu mô vú dày đặc hơn so với người có tỷ lệ mỡ cao.
Liệu pháp hormone
Việc sử dụng hormone, đặc biệt là liệu pháp kết hợp estrogen và progesterone trong giai đoạn mãn kinh, có thể làm tăng mật độ mô vú.

Mô vú dày đặc làm tăng nguy cơ ung thư vú
Dấu hiệu nhận biết và ảnh hưởng đến sức khỏe của mô vú dày đặc
Mô vú dày đặc là tình trạng khá phổ biến ở phụ nữ, nhưng lại khó nhận biết nếu chỉ quan sát bằng mắt thường hoặc tự kiểm tra tại nhà. Việc hiểu rõ đặc điểm, nguy cơ và cách theo dõi sẽ giúp bạn chủ động hơn trong việc bảo vệ sức khỏe tuyến vú.
Dấu hiệu và cách nhận biết
Trên thực tế, mô vú dày đặc không gây ra bất kỳ triệu chứng rõ ràng nào. Bạn sẽ không cảm thấy đau, không thấy thay đổi kích thước hay hình dạng ngực khác biệt so với người khác. Ngay cả khi tự sờ nắn, cũng rất khó để phân biệt được tình trạng này.
Cách duy nhất để xác định chính xác là thông qua các phương pháp chẩn đoán hình ảnh, phổ biến nhất là chụp X-quang tuyến vú (mammography). Đây là công cụ giúp bác sĩ đánh giá cấu trúc mô bên trong vú, từ đó xác định mức độ dày đặc.
Ảnh hưởng của mô vú dày đặc đến sức khỏe
Nhiều nghiên cứu cho thấy, phụ nữ có mô vú dày đặc có thể đối mặt với nguy cơ ung thư vú cao hơn từ 4–6 lần so với người bình thường. Nguyên nhân là do:
Mô vú dày chứa nhiều tuyến và ống dẫn sữa hơn – đây là nơi ung thư vú thường phát triển
Hình ảnh trên phim chụp dễ bị che lấp, khiến việc phát hiện sớm khối u trở nên khó khăn hơn
Tuy nhiên, cần nhấn mạnh rằng: có mô vú dày đặc không đồng nghĩa với việc chắc chắn sẽ mắc ung thư vú. Đây chỉ là một yếu tố nguy cơ, không phải là kết luận chẩn đoán.
Các yếu tố làm tăng nguy cơ khi đi kèm
Nếu bạn có mô vú dày đặc và đồng thời gặp các yếu tố dưới đây, nguy cơ có thể tăng cao hơn:
- Gia đình có người thân gần (mẹ, chị em gái) từng mắc ung thư vú
- Tuổi càng cao
- Tiền sử mắc các bệnh ung thư khác
- Từng có u lành tính ở vú
- Thường xuyên sử dụng rượu bia
- Sinh con đầu lòng sau 30 tuổi hoặc chưa từng sinh con
- Sử dụng liệu pháp hormone thay thế trong thời gian dài
- Thừa cân, béo phì (BMI cao)
- Lối sống ít vận động
Khi nào nên đi khám?
Do không có dấu hiệu nhận biết rõ ràng, bạn nên chủ động thăm khám trong các trường hợp sau:
- Có một hoặc nhiều yếu tố nguy cơ kể trên
- Đến độ tuổi cần tầm soát ung thư vú định kỳ
- Có bất kỳ lo lắng nào liên quan đến sức khỏe tuyến vú
Chẩn đoán mô vú dày đặc: tiếp cận toàn diện và chính xác
Việc xác định mô vú dày đặc không chỉ dựa vào một xét nghiệm đơn lẻ mà cần kết hợp nhiều yếu tố: tiền sử cá nhân, yếu tố gia đình, tình trạng sức khỏe hiện tại và các phương tiện chẩn đoán hình ảnh. Mục tiêu là phát hiện sớm bất thường, đồng thời giảm nguy cơ bỏ sót tổn thương tiềm ẩn.
Nhũ ảnh (chụp X-quang tuyến vú)
Nhũ ảnh là phương pháp nền tảng trong tầm soát và phát hiện sớm ung thư vú. Kỹ thuật này cho phép nhận diện các dấu hiệu như vi vôi hóa hoặc khối bất thường.
Tuy nhiên, ở phụ nữ có mô vú dày đặc, hiệu quả của nhũ ảnh có thể bị hạn chế. Nguyên nhân là do:
- Mô mỡ cho tia X đi qua nên hiển thị màu tối trên phim
- Mô tuyến và mô liên kết cản tia X, tạo hình ảnh màu trắng
Khi mật độ mô tuyến và mô liên kết cao, hình ảnh sẽ trắng nhiều hơn, khiến việc phân biệt giữa mô bình thường và khối u trở nên khó khăn hơn.
Phân loại mật độ vú theo hệ thống BI-RADS
Để chuẩn hóa đánh giá, bác sĩ sử dụng hệ thống BI-RADS nhằm phân loại mật độ mô vú trên nhũ ảnh:
- BI-RADS A: Vú chủ yếu là mô mỡ, khả năng phát hiện tổn thương cao
- BI-RADS B: Vẫn là mô mỡ chiếm ưu thế, xen kẽ một số vùng mô tuyến
- BI-RADS C: Mô vú có mật độ không đồng nhất, bắt đầu gây khó khăn trong phát hiện khối nhỏ
- BI-RADS D: Mô vú rất dày, mô tuyến và mô liên kết chiếm phần lớn, nguy cơ che lấp tổn thương cao
Những người thuộc nhóm C và D thường cần theo dõi kỹ hơn hoặc bổ sung thêm phương pháp chẩn đoán khác.

Nhũ ảnh giúp chẩn đoán tình trạng mô vú dày đặc
Các phương pháp hỗ trợ khi mô vú dày đặc
Khi nhũ ảnh không đủ rõ ràng hoặc bệnh nhân thuộc nhóm nguy cơ cao, bác sĩ có thể chỉ định thêm các kỹ thuật sau:
1. Nhũ ảnh 3D (Tomosynthesis): Giúp tạo hình ảnh lát cắt mỏng của mô vú, cải thiện khả năng phát hiện tổn thương trong nền mô dày.
2. Siêu âm vú: Là phương pháp phổ biến, không sử dụng tia xạ và chi phí hợp lý. Siêu âm đặc biệt hữu ích trong việc phân biệt khối đặc và nang, tuy nhiên độ chính xác phụ thuộc nhiều vào kinh nghiệm của bác sĩ.
3. MRI vú: Có độ nhạy cao, thường áp dụng cho những người có nguy cơ ung thư vú cao (ví dụ có đột biến gen hoặc tiền sử gia đình mạnh). Nhược điểm là chi phí cao và không phải lúc nào cũng cần thiết cho mọi trường hợp.
4. Siêu âm đàn hồi mô: Đánh giá độ cứng của mô, hỗ trợ phân biệt tổn thương lành tính hay ác tính.
5. Sinh thiết vú: Là tiêu chuẩn xác định chẩn đoán khi có nghi ngờ. Mẫu mô được lấy ra để phân tích dưới kính hiển vi.
Cách tiếp cận với mô vú dày đặc
Mô vú dày đặc không phải là bệnh lý và thông thường không gây ảnh hưởng trực tiếp đến sức khỏe, vì vậy không có chỉ định điều trị cụ thể. Tuy nhiên, điều quan trọng là bạn cần nhận thức rõ về tình trạng này để chủ động theo dõi và chăm sóc bản thân một cách phù hợp.
Phụ nữ có mô vú dày đặc nên duy trì thói quen khám sức khỏe định kỳ, đặc biệt là các chương trình tầm soát ung thư vú. Do cấu trúc mô dày có thể làm giảm độ nhạy của một số phương pháp chẩn đoán hình ảnh, việc kiểm tra đều đặn sẽ giúp phát hiện sớm những bất thường nếu có.
Theo khuyến nghị từ các tổ chức y khoa uy tín, phụ nữ từ 40 tuổi nên thực hiện chụp nhũ ảnh mỗi năm để tầm soát ung thư vú. Trong trường hợp có yếu tố nguy cơ cao, chẳng hạn như tiền sử gia đình có người mắc ung thư vú (mẹ, chị em gái), bạn có thể cần bắt đầu tầm soát sớm hơn, khoảng từ 30 tuổi, theo tư vấn của bác sĩ.
Cách chủ động chăm sóc sức khỏe khi có mô vú dày đặc
Thực tế, mô vú dày đặc là một đặc điểm sinh lý tự nhiên và không thể “phòng ngừa” theo nghĩa thông thường. Bản thân tình trạng này không gây nguy hiểm trực tiếp. Tuy nhiên, việc nhận biết mình có mô vú dày đặc giúp bạn hiểu rõ hơn về cơ thể và chủ động theo dõi sức khỏe vú một cách sát sao hơn, đặc biệt vì nó có thể làm việc phát hiện sớm ung thư vú trở nên khó khăn hơn.
Thay vì lo lắng, điều quan trọng là xây dựng lối sống lành mạnh và duy trì thói quen kiểm tra sức khỏe định kỳ. Dưới đây là những nguyên tắc được các chuyên gia khuyến nghị:
- Duy trì vận động thường xuyên: Tập thể dục đều đặn không chỉ giúp kiểm soát cân nặng mà còn góp phần điều hòa nội tiết tố – yếu tố có liên quan đến sức khỏe tuyến vú. Bạn có thể lựa chọn các hình thức vận động phù hợp như đi bộ nhanh, bơi lội, yoga hoặc các môn thể thao yêu thích.
- Nói không với thuốc lá: Hút thuốc lá ảnh hưởng tiêu cực đến toàn bộ cơ thể, bao gồm cả mô vú. Việc từ bỏ hoặc tránh xa thuốc lá là một trong những bước quan trọng để giảm nguy cơ nhiều bệnh lý, trong đó có ung thư.
- Kiểm soát việc sử dụng rượu bia: Uống rượu bia quá mức có thể làm tăng nguy cơ ung thư vú. Nếu có sử dụng, nên duy trì ở mức tối thiểu và có kiểm soát.
- Xây dựng chế độ ăn cân bằng, giàu dinh dưỡng: Một chế độ ăn lành mạnh đóng vai trò quan trọng trong việc bảo vệ sức khỏe lâu dài. Nên ưu tiên thực phẩm tươi như rau xanh, trái cây, ngũ cốc nguyên hạt; đồng thời hạn chế đồ ăn nhiều dầu mỡ, đường và thực phẩm chế biến sẵn.
- Tầm soát ung thư vú định kỳ: Đây là yếu tố then chốt, đặc biệt với người có mô vú dày đặc. Việc khám và tầm soát theo hướng dẫn của bác sĩ giúp phát hiện sớm các bất thường, từ đó nâng cao hiệu quả điều trị nếu có vấn đề xảy ra.
Xem thêm
Kết luận
Mô vú dày đặc không phải là điều đáng sợ, nhưng cũng không nên xem nhẹ. Khi hiểu rõ bản chất của nó, bạn sẽ nhận ra rằng điều quan trọng nhất không nằm ở việc lo lắng, mà là biết cách theo dõi và tầm soát phù hợp với cơ thể mình.
Việc kết hợp giữa kiến thức đúng, thói quen sống lành mạnh và kiểm tra định kỳ sẽ giúp bạn giảm thiểu rủi ro một cách hiệu quả. Trong bối cảnh ung thư vú ngày càng phổ biến, sự chủ động chính là yếu tố quyết định giúp bảo vệ sức khỏe lâu dài.
Bên cạnh đó, nếu bạn muốn hiểu sâu hơn về các bệnh lý ung thư cũng như các kiến thức hữu ích về sức khỏe, hãy truy cập vào fanpage Thuocungthu.net - Hiểu bệnh, hiểu thuốc để cập nhật những thông tin y khoa chính thống cũng như các mẹo bảo vệ sức khỏe.
Những câu hỏi thường gặp về mô vú dày đặc
Mô vú dày đặc có phải là bệnh không?
Không. Mô vú dày đặc không phải là bệnh lý mà chỉ là một đặc điểm sinh học của cơ thể. Điều này có nghĩa là cấu trúc mô vú của bạn có nhiều mô tuyến và mô sợi hơn mô mỡ. Tuy nhiên, dù không phải bệnh, tình trạng này vẫn cần được theo dõi vì có thể ảnh hưởng đến việc phát hiện sớm ung thư vú.
Mô vú dày đặc có làm tăng nguy cơ ung thư vú không?
Có, nhưng ở mức độ trung bình. Mô vú dày đặc được xem là một yếu tố nguy cơ, không phải nguyên nhân trực tiếp gây ung thư. Nguy cơ này thấp hơn so với yếu tố di truyền nhưng vẫn đủ quan trọng để bạn cần chú ý tầm soát đều đặn.
Có cần điều trị mô vú dày đặc không?
Không cần điều trị nếu không có bất thường đi kèm. Vì đây không phải bệnh nên không có phác đồ điều trị riêng. Điều quan trọng là theo dõi định kỳ và áp dụng các phương pháp tầm soát phù hợp.
Số lần xem: 83
